La diabetes es una enfermedad que afecta a más de 420 millones de personas en el mundo y provoca complicaciones en los diferentes órganos del cuerpo. Uno de los órganos afectados por la diabetes pueden ser nuestros ojos. La retinopatía diabética es una enfermedad ocular que puede afectar a las personas con diabetes, causando daño a los vasos sanguíneos de la retina y pudiendo llevar a la pérdida de la visión e incluso a la ceguera.
Es importante que las personas con diabetes se sometan a exámenes regulares de los ojos para detectar y tratar esta afección a tiempo. En este artículo, exploraremos las causas, síntomas y opciones de tratamiento para la retinopatía diabética.

¿Qué es la retinopatía diabética?
La retinopatía diabética es una enfermedad ocular que se desarrolla debido a los altos niveles de azúcar en la sangre causando daño a los vasos sanguíneos de la retina. La retina es una capa sensible a la luz en la parte posterior del ojo que es fundamental para la visión. Con el tiempo, los vasos sanguíneos dañados pueden hincharse, gotear líquido o incluso cerrarse, lo que afecta la circulación sanguínea y puede provocar una pérdida de la visión.

Causas y factores de riesgo
La principal causa de la retinopatía diabética es la diabetes, especialmente cuando los niveles de azúcar en la sangre no están bien controlados. Sin embargo, hay otros factores de riesgo que pueden aumentar las posibilidades de desarrollar esta enfermedad ocular. Estos incluyen:
- Duración de la diabetes: Cuanto más tiempo se tenga diabetes, mayor será el riesgo de desarrollar retinopatía diabética.
- Niveles altos de glucemia: Los niveles de azúcar en la sangre mal controlados pueden dañar los vasos sanguíneos de la retina.
- Niveles altos de presión arterial: La presión arterial alta también puede contribuir al desarrollo de la retinopatía diabética.
- Embarazo: Las mujeres embarazadas con diabetes tienen un mayor riesgo de desarrollar esta enfermedad ocular durante el embarazo.

Síntomas de la retinopatía diabética
En las etapas iniciales, la retinopatía diabética puede no presentar síntomas visibles. Sin embargo, a medida que la enfermedad progresa, es posible que se experimenten los siguientes síntomas:
- Visión borrosa o fluctuante.
- Dificultad para leer o ver objetos de cerca.
- Manchas oscuras o flotantes en el campo visual.
- Pérdida de la visión periférica.
- Dificultad para ver colores o cambios en la percepción de los colores.
Es importante destacar que estos síntomas pueden afectar a ambos ojos y pueden variar en intensidad dependiendo del grado de retinopatía diabética.
Diagnóstico de la retinopatía diabética

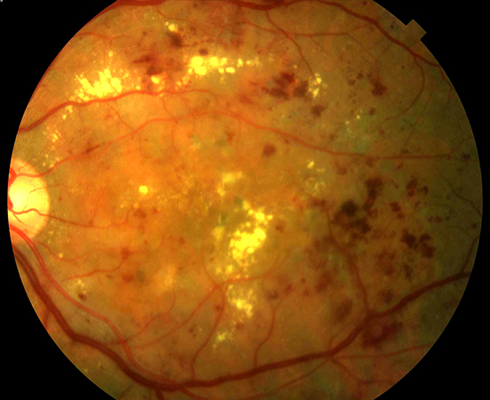
El diagnóstico de la retinopatía diabética se realiza mediante un examen completo de los ojos con dilatación de las pupilas. Durante este examen, el oftalmólogo examinará la retina y los vasos sanguíneos utilizando diferentes técnicas, como la oftalmoscopia, la fotografía color del fondo de ojo, la angiografía con fluoresceína y la tomografía de coherencia óptica (OCT).
La oftalmoscopia permite al médico visualizar directamente la retina y los vasos sanguíneos en busca de signos de retinopatía diabética. La fotografía color del fondo de ojo proporciona imágenes detalladas de la retina y puede ayudar a clasificar el grado de retinopatía. La angiografía con fluoresceína es una técnica en la que se inyecta un tinte especial en una vena para evaluar la circulación sanguínea en la retina. La tomografía de coherencia óptica (OCT) proporciona imágenes en sección transversal de la retina y puede mostrar cualquier hinchazón o daño en las capas retinianas.
Etapas y complicaciones de la retinopatía diabética
La retinopatía diabética se divide en dos etapas principales: la retinopatía diabética no proliferativa (NPDR) y la retinopatía diabética proliferativa (PDR).
La NPDR es la etapa temprana de la retinopatía diabética, en la cual los vasos sanguíneos de la retina pueden presentar fugas de líquido o hincharse, lo que puede provocar una visión borrosa o distorsionada. En esta etapa, también pueden formarse pequeñas partículas en la retina, llamadas exudados, que pueden afectar la visión.

La PDR es la etapa más avanzada de la retinopatía diabética, en la cual se desarrollan nuevos vasos sanguíneos anormales en la retina. Estos vasos sanguíneos son frágiles y propensos a sangrar, lo que puede causar una pérdida de la visión más grave. Además, la PDR puede llevar a complicaciones como el edema macular diabético (EMD), el desprendimiento de retina y el glaucoma neovascular.
Tratamiento de la retinopatía diabética

El tratamiento de la retinopatía diabética depende del grado de la enfermedad y de las complicaciones presentes. El objetivo principal del tratamiento es preservar y mejorar la visión, así como prevenir la progresión de la enfermedad.
El control de la diabetes es fundamental para el manejo de la retinopatía diabética. Mantener los niveles de azúcar en la sangre y la presión arterial bajo control puede ayudar a prevenir o retrasar la aparición de problemas oculares.

En casos más avanzados, pueden utilizarse diferentes enfoques de tratamiento, como la terapia con láser (fotocoagulación), la inyección de medicamentos anti-VEGF (factores de crecimiento endotelial vascular), la administración de corticosteroides intraoculares, o incluso cirugía ocular, como la vitrectomía.
Existe una variedad de inyecciones intravítreas disponibles, el ozurdex, el Vavysmo, y la Eylea son algunas de las más eficaces en estos tratamientos.
Es importante destacar que cada caso de retinopatía diabética es único y requiere un enfoque individualizado. Los pacientes deben trabajar en estrecha colaboración con su retinólogo y equipo de atención médica para determinar el mejor plan de tratamiento.
Prevención y cuidado de la salud ocular
La prevención es fundamental en el manejo de la retinopatía diabética. Mantener un buen control de la diabetes, llevar una dieta saludable, hacer ejercicio regularmente y tomar los medicamentos recetados son medidas clave para prevenir o retrasar la aparición de problemas oculares.
Además, es importante someterse a exámenes regulares de los ojos, especialmente si se tiene diabetes. Estos exámenes permiten detectar cualquier signo temprano de retinopatía diabética y tomar medidas preventivas o de tratamiento a tiempo.
En resumen, la retinopatía diabética es una enfermedad ocular que puede afectar a las personas con diabetes. Es fundamental controlar la diabetes, realizar exámenes regulares de los ojos y trabajar en estrecha colaboración con los profesionales de la salud para prevenir, detectar y tratar esta enfermedad de manera oportuna. No olvide que su salud ocular es tan importante como el control de su diabetes.
